作品集(左右滑動看對比)

顯微美學女孩-1
顯微美學女孩-2
顯微美學女孩-3
顯微美學女孩-4
顯微美學女孩-5
顯微美學女孩-6
顯微美學女孩-7
顯微美學女孩-8
顯微美學女孩-9
顯微美學女孩-10
顯微美學女孩-11
顯微美學女孩-12

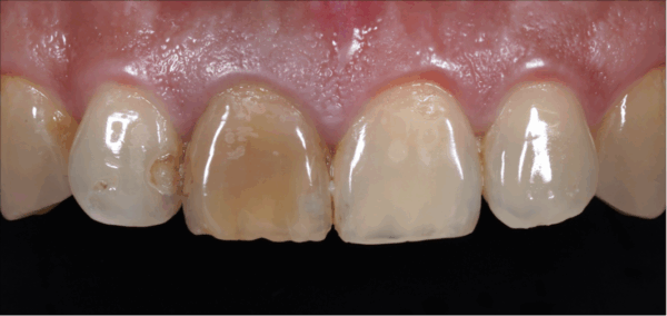
門牙補過變黑怎麼辦?讓你了解什麼是美學樹脂,為什麼越來越多人選擇它?

「醫師,我補過的牙怎麼又黑掉了?」 「我想要補牙補得自然一點,有沒有不會磨那麼多牙的方法?」

這些問題,是越來越多人走進診間時的真實煩惱。

今天這篇文章,會從「什麼是美學樹脂」開始,帶你了解它和傳統補牙有什麼不同,適合哪些狀況,又該怎麼選擇。最後也會說明我自己在臨床上的實際經驗與治療流程,希望讓你在選擇時更安心、更有方向。

閱讀更多 »

『真心話-ep5』 牙齒顏色不均?補過的牙變黑?矯正完牙齒脫鈣?

很多人來問我:「醫師,我以前補的牙怎麼越來越黑?」
或者:「矯正完牙齒怎麼變得花花的,看起來不均勻?」

大部分人能想到的解決方法就是 貼片、冷光美白,但……
有沒有其他選擇?
如果你不想磨牙,只想讓牙齒恢復原本的自然顏色,答案很簡單——顯微鏡美學樹脂重補

閱讀更多 »

常見問題

樹脂和全瓷冠相比,強度的確較弱,也相對容易染色,但在顯微鏡下的操作,搭配強度較高的樹脂,可以最大化弱化這些缺點。
術後若有異常狀況,我們將協助評估並提供合適處理方案。

顯微美學樹脂費用可能落在8000~15000不等,貼片或全瓷冠則是30000~35000左右。

加line預約就可以囉,會有專人幫你預約。

以最微創的治療來說來說,美學樹脂的修磨量是最少的。
但如果是有做過根管治療或是大範圍齒質缺損的牙齒,可能還是要視情況做牙套,給牙齒更完整的保護。

吉士牙醫

吉士牙醫

一步一步往前,持續前進

I will be back soon

吉士牙醫
預約可以透過line,想了解更多案例或是牙齒有趣的事,可以追蹤ig喔
line預約
chat