牙齒化妝師-吉士牙醫
吉士牙醫
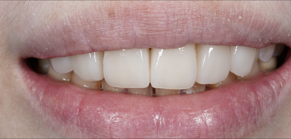
你的笑容
由我們守護
通常我給患者的建議,和給我家人的建議是一樣的。因為我相信只有心裡想的,和講出來的話是一樣的,才會有說服力。
微創、實用和美觀,我想是現在牙科大家所追求的。在我這邊,希望可以以好的設備、持續精進的技術,以及彼此想法一致的溝通,達到你我都滿意的笑容。
我是吉士牙醫
讓你的笑容從齒美麗。
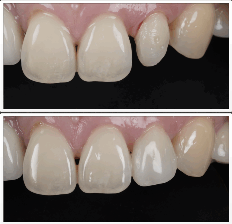
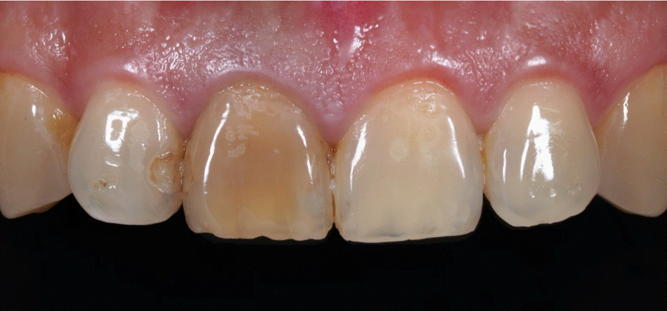
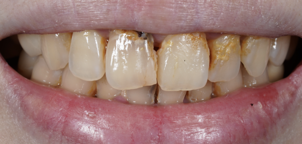
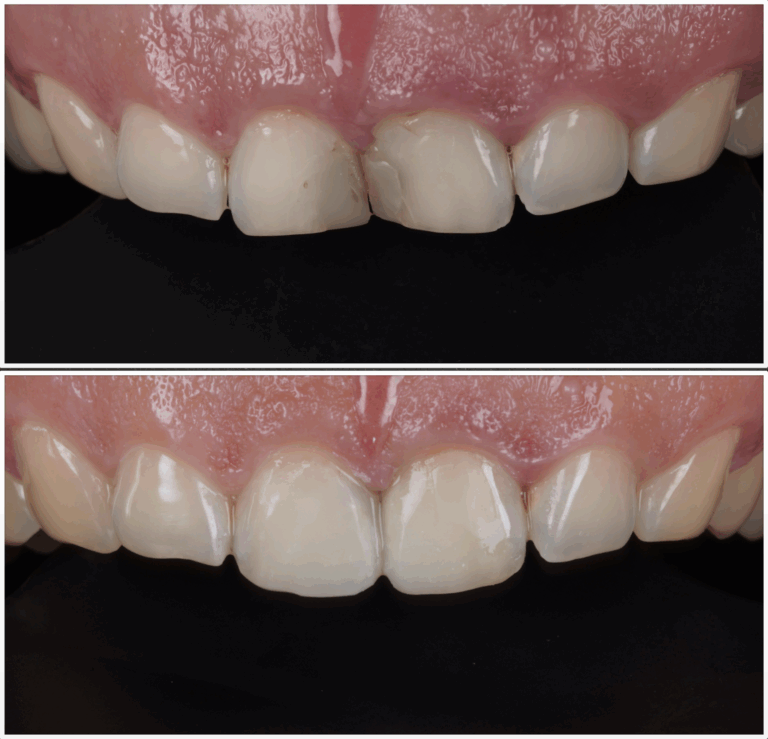
Sun's 美學樹脂
為了讓你放心微笑, 我把每一顆牙齒做到極致。
有別於傳統的補牙,顯微美學樹脂可以做到100倍更精準的補牙。 藉由顯微鏡,可以做到超越傳統肉眼的極限, 不僅在保留最多牙齒的情況下變美 更可以降低之後二次蛀牙的機會。
