「醫師,我補過的牙怎麼又黑掉了?」 「我想要補牙補得自然一點,有沒有不會磨那麼多牙的方法?」
這些問題,是越來越多人走進診間時的真實煩惱。
今天這篇文章,會從「什麼是美學樹脂」開始,帶你了解它和傳統補牙有什麼不同,適合哪些狀況,又該怎麼選擇。最後也會說明我自己在臨床上的實際經驗與治療流程,希望讓你在選擇時更安心、更有方向。
美學樹脂是什麼?和傳統補牙有什麼不同?
所謂美學樹脂,並不是一種單一材料,而是一整套更精細、追求擬真與微創的補牙流程。
| 項目 | 傳統健保補牙 | 顯微美學樹脂 |
|---|---|---|
| 材料 | 標準樹脂 | 高階比色美學樹脂 |
| 顏色 | 色階粗略,易染色 | 多層比色,自然通透 |
| 操作 | 快速補綴 | 顯微鏡輔助、精細隔濕 |
| 外觀 | 邊緣可能變黑 | 幾乎看不出補牙痕跡 |
這種治療強調「保留牙齒未來的選擇權」,在保留最多齒質的情況下,得到自然、耐用又好看的修復結果。

文獻怎麼說?我在臨床上的觀察
根據這篇『最高等級可信度的文獻』 樹脂補牙維持10年的比例,大約落在80% ;但臨床上的觀察,能用這麼久的樹脂補牙其實遠低於80%

這所謂的80%的十年成功率,是建立在搭配乾淨的視野、良好的隔濕與正確的分層操作 才有機會達到長期穩定、邊緣緊密、不易變色的結果。
台灣的健保,認定一般樹脂補牙只要撐2年,就算是及格了(每隔兩年同一顆牙齒補牙就可以申請健保)。 但當一顆牙齒反反覆覆的補,重複個幾次,很有可能就會進入到抽神經的命運。 進入了牙齒的死亡循環。
我自己也觀察到:
- 病人更在意補牙後的外觀與笑容自然感
- 顯微美學樹脂讓我能更完整保留病人的牙齒,處理得更細緻
- 治療後不僅外觀提升,也減少反覆蛀牙的風險
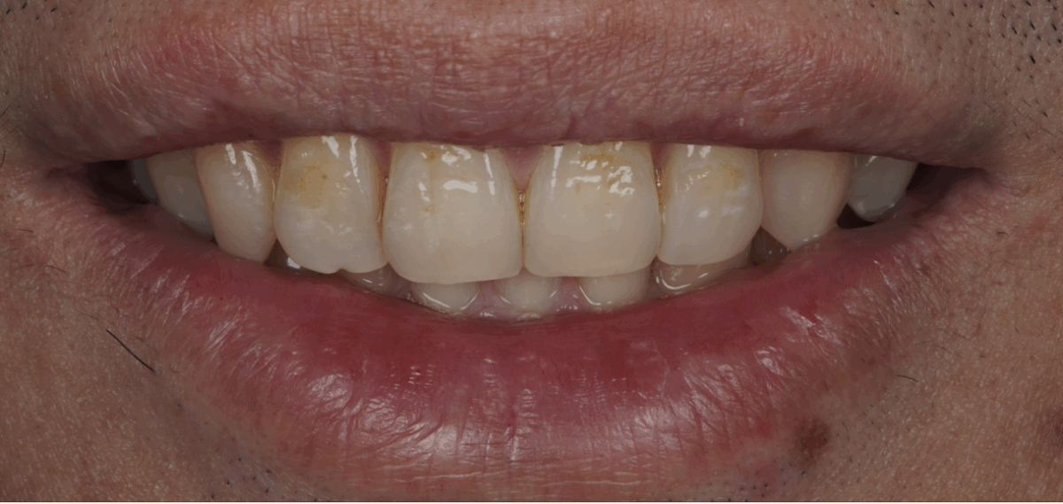
哪些人適合美學樹脂?(案例分享)
你可能會適合這種治療,如果你有以下狀況:
門牙斷裂、缺角

- 舊有補牙邊緣變黑、不自然

- 想微調門牙型態(變直、變對稱、變長、關縫)

- 輕度白斑、牙齒脫鈣

這些都可以透過美學樹脂,在不磨太多牙的情況下達到改善。
治療流程是什麼樣?
1. 診斷與比色設計:先確認是否適合這種治療,並根據牙齒顏色與型態預先規劃。

2. 清潔與隔濕:使用橡皮障或其他隔絕水氣的方式,讓治療視野乾淨,避免唾液干擾,影響樹脂黏著度。

3.顯微鏡輔助操作:放大視野處理細節,確保邊緣密合。

4.分層補綴:依據牙齒本身的透明度與色階層層堆疊,模擬牙齒自然構造。
5.修型與拋光:修出對稱自然的型態,並打亮讓牙齒有自然光澤。
整個過程大約1~2 小時,治療中會需要張口較久,但不會太痛。
我提供的安心保固方案
- 完成日起一年內,如有脫落、邊緣變色,提供一次免費修復
這不只是治療,更是一份「我對自己作品的信心」。
常見問題 FAQ
Q1:和健保補牙差在哪?
健保補牙由於僅靠肉眼操作,視野受限,因此色階選擇與細節處理較粗略,美觀度與穩定度有限。美學樹脂則著重視野清晰、精細操作與美觀。
Q2:那跟陶瓷貼片差在哪?
貼片需要磨除牙齒表面並黏著瓷塊,適合大面積改變型態與顏色。美學樹脂屬於更保守的選擇,適合局部修復與細部微調。
Q3:可以維持多久?
通常可穩定使用 3~10 年,依個人咬合、飲食與清潔習慣不同,可能需局部微調或再拋光。
Q4:每一顆牙齒都能做嗎?
需經醫師評估,若結構破壞過大、牙齒已抽神經,可能會建議其他方式(如貼片或全瓷冠)。
你的笑容,其實可以更自然又輕鬆
如果你曾經補過牙、但對現在的外觀不滿意,或是想用更自然、更保守的方式改善牙齒外觀,美學樹脂可能會是你正在找的解法。
📲 想知道自己適不適合?
可以加入我的line,直接線上預約。
或是加入我的ig,看更多案例照。


