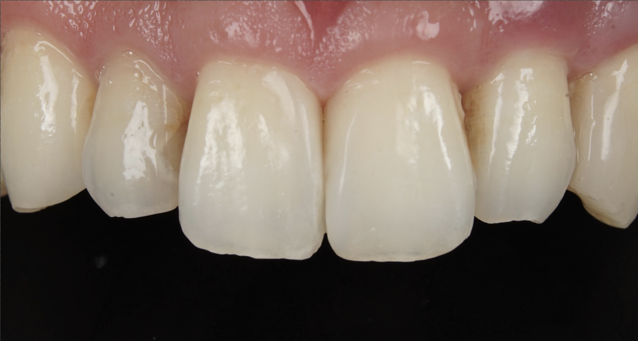
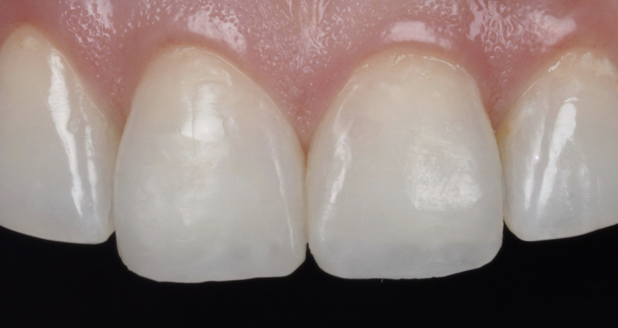
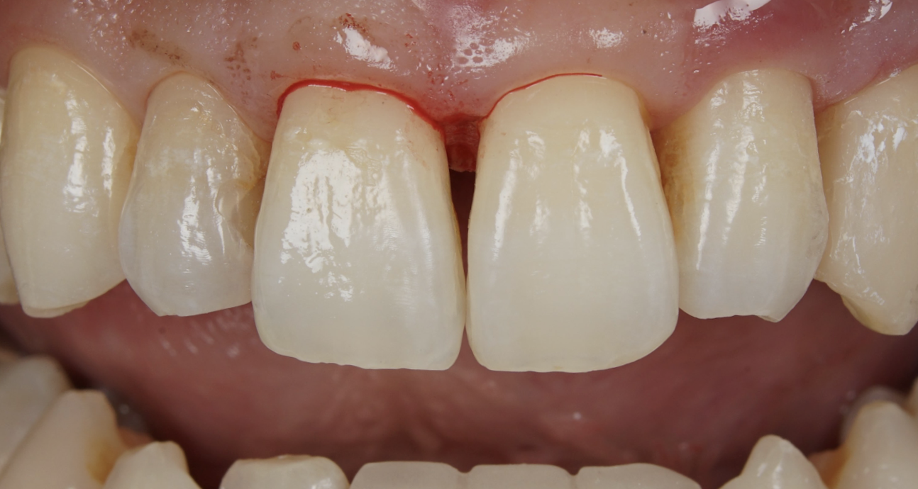
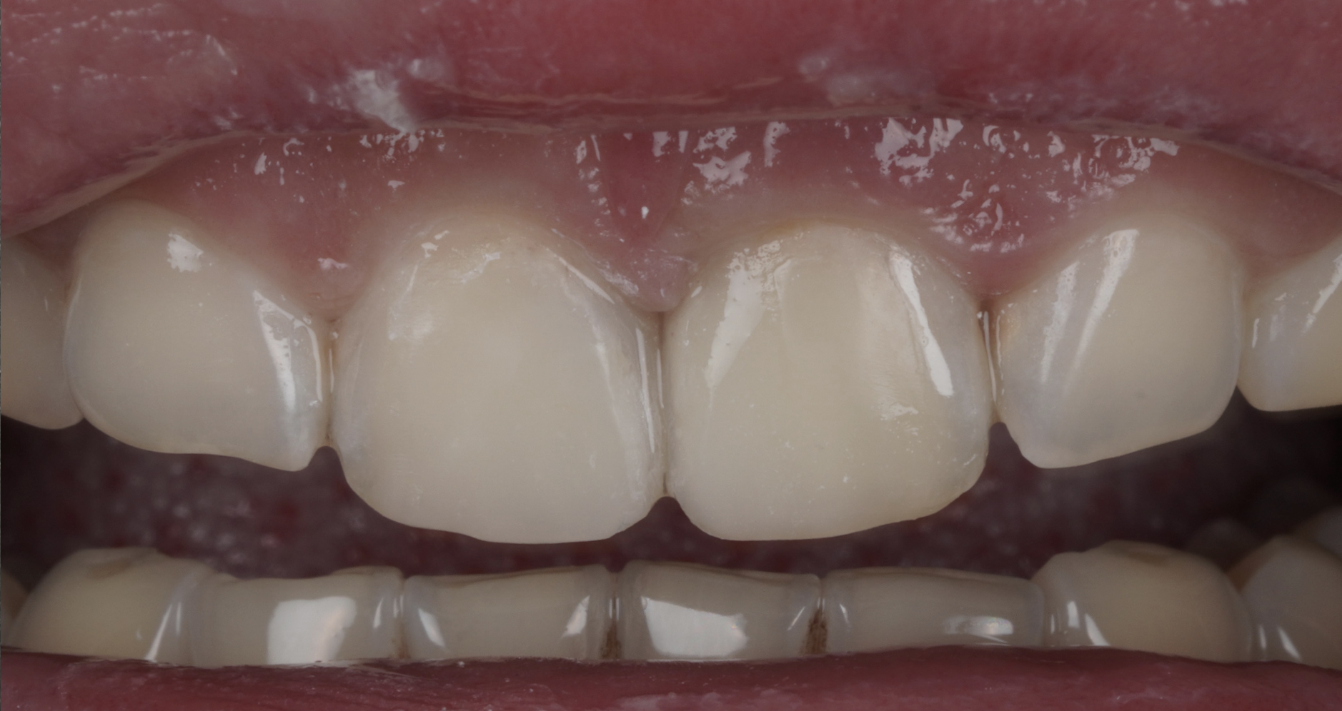
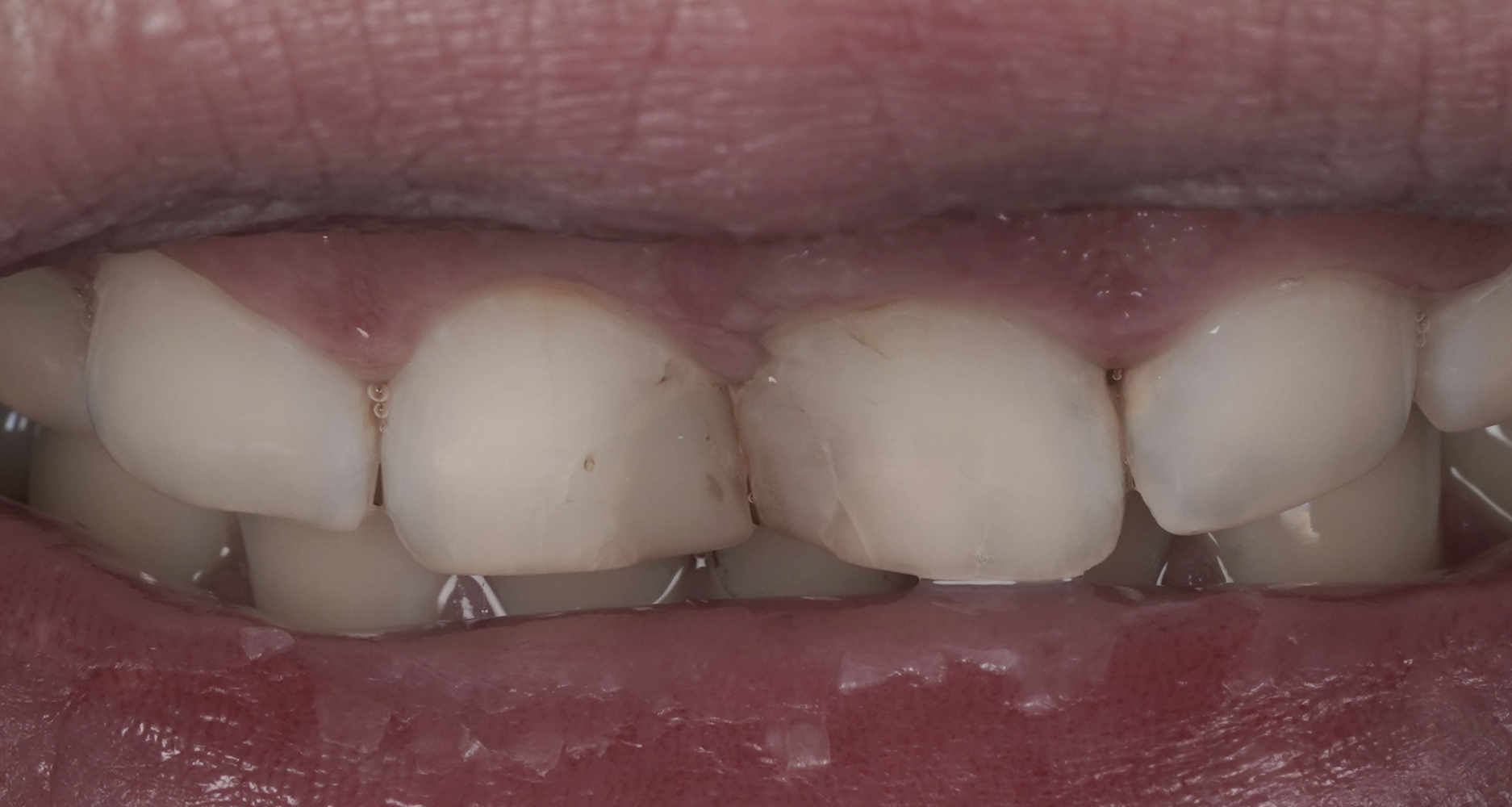
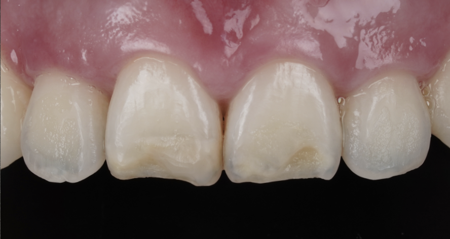
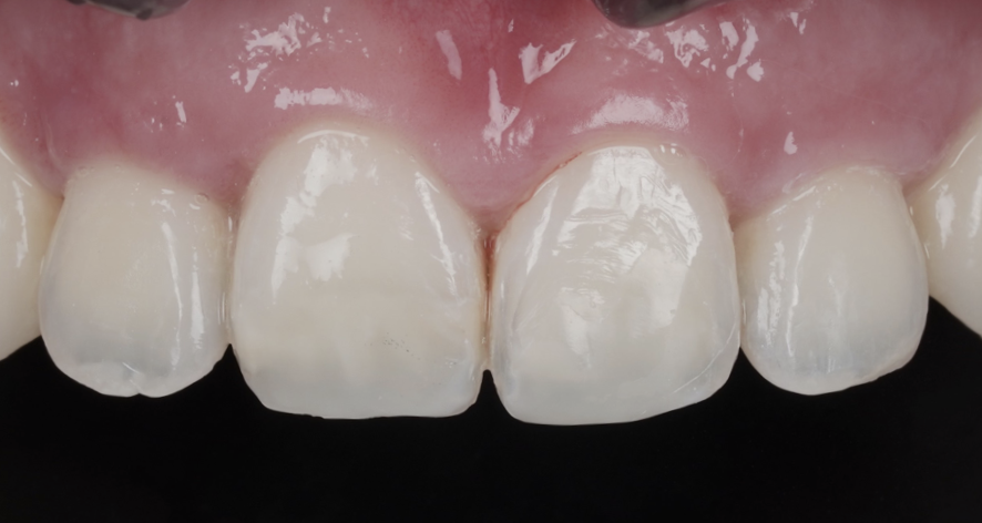
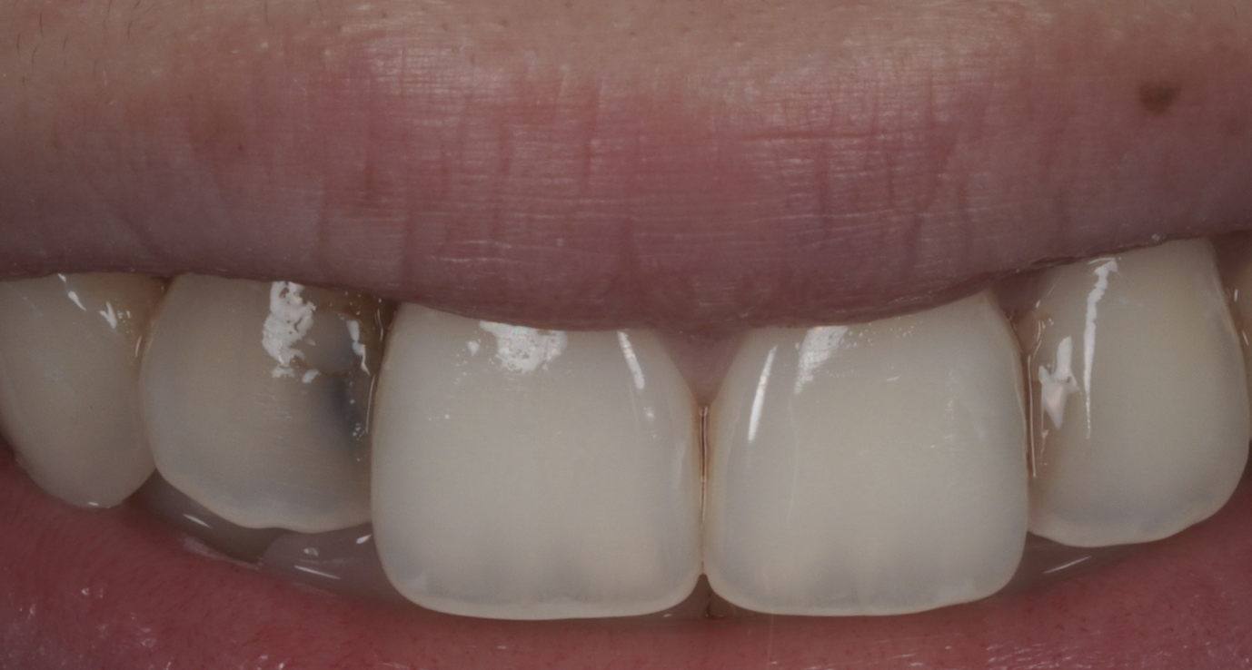
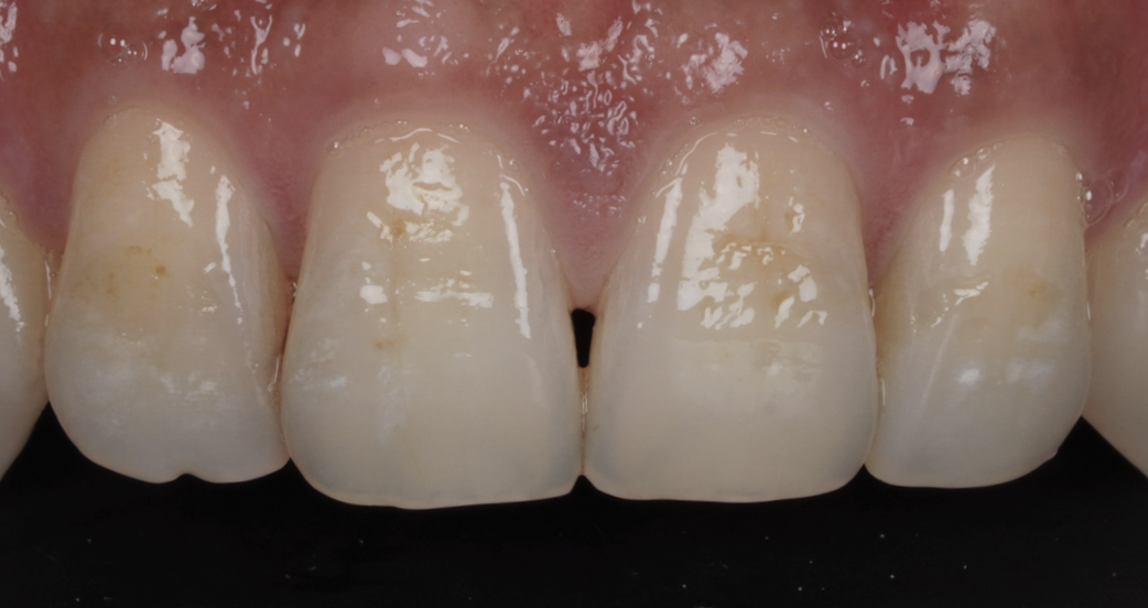
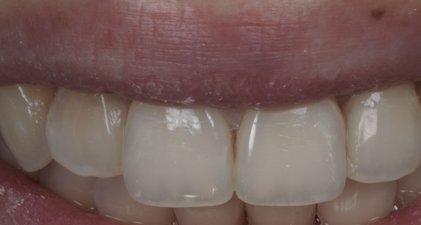
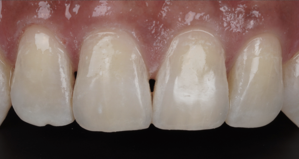
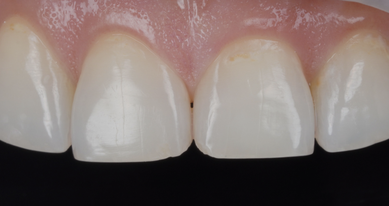
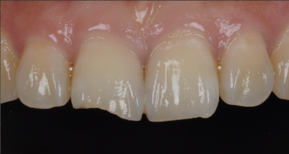
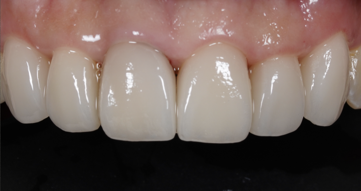
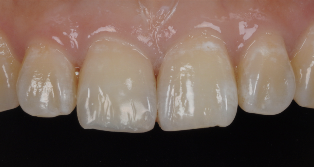
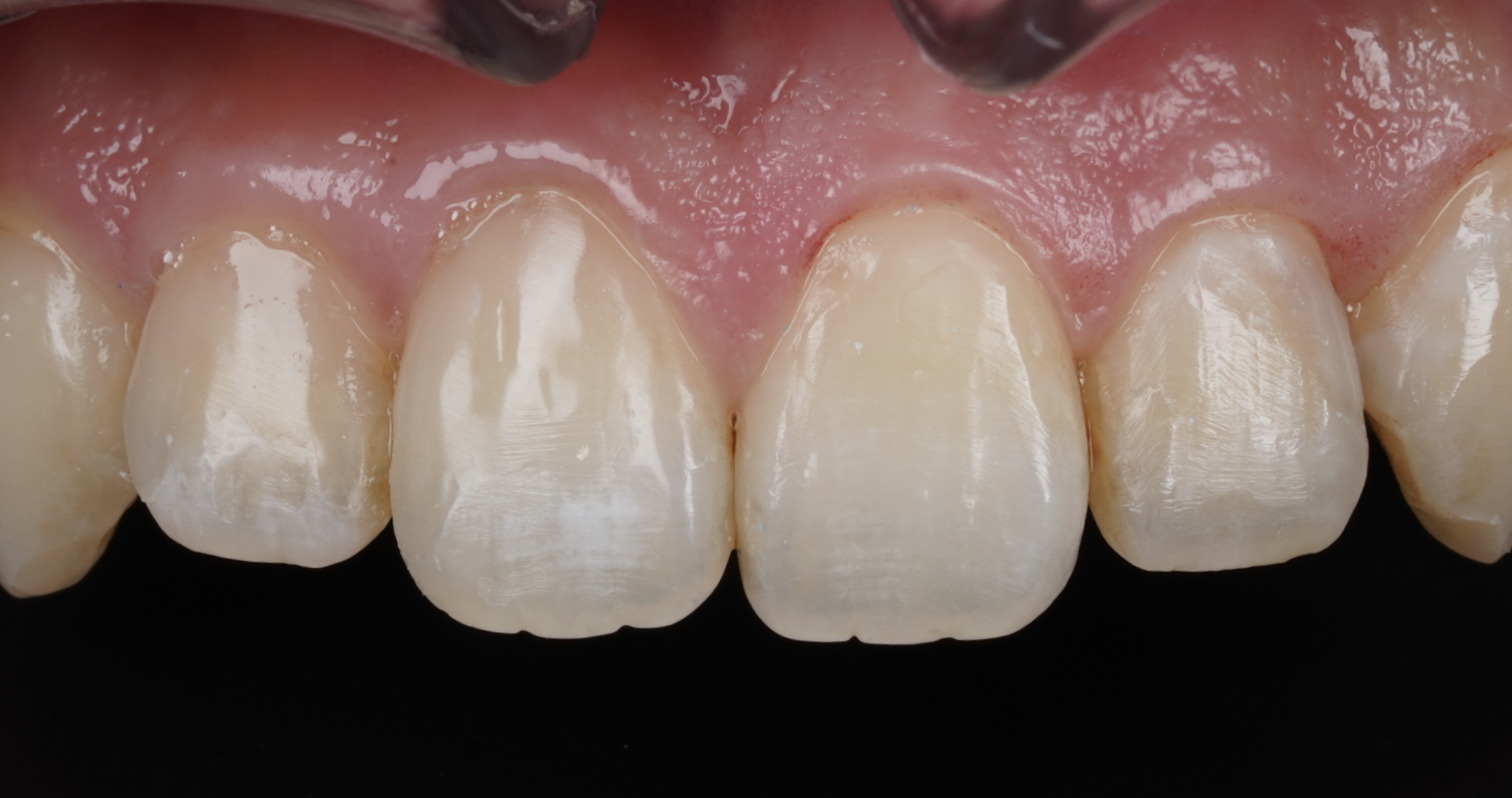
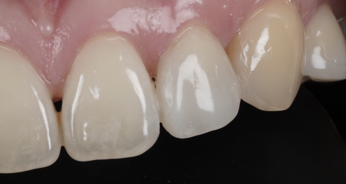
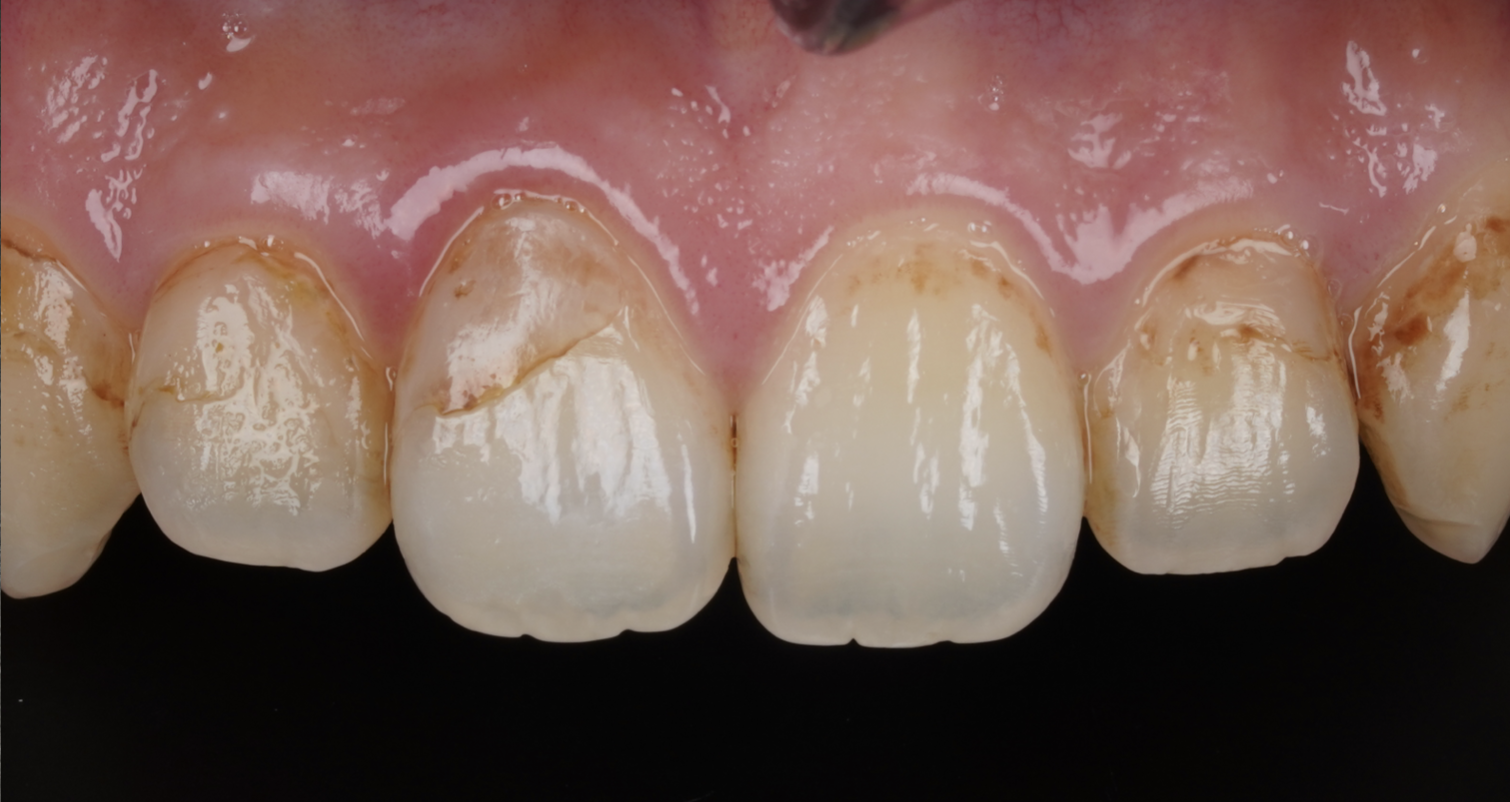
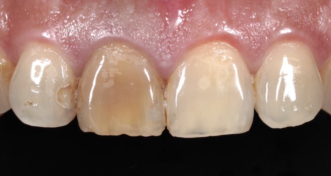
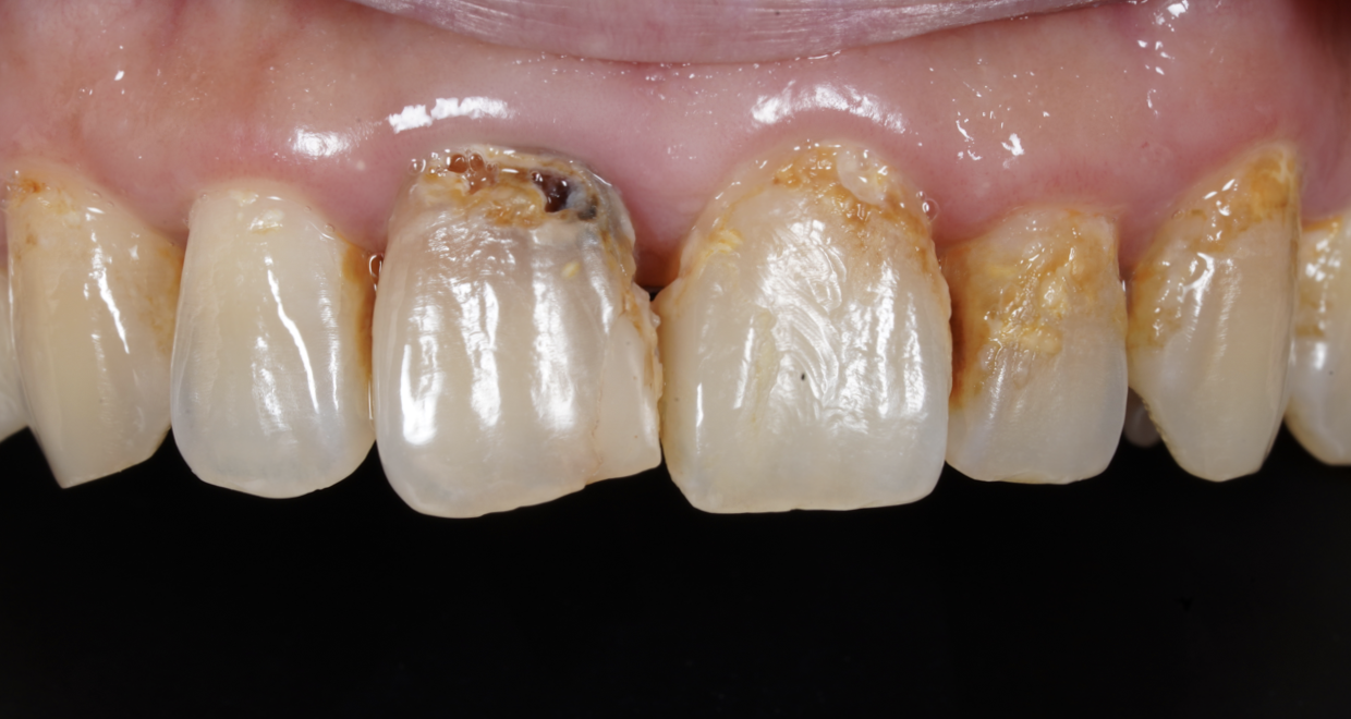
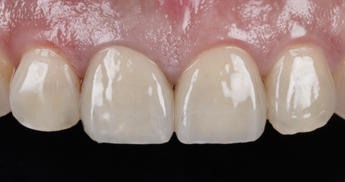
診療項目(左右拉動可以看對比喔) 案例篩選 All 二次蛀牙 仿生貼片 全瓷冠 前牙美學 奈米樹脂 斷牙 門牙變色 顯微補牙 黑三角 顯微美學女孩-13 二次蛀牙奈米樹脂門牙變色 顯微女孩-12 二次蛀牙仿生貼片門牙變色 顯微女孩-11 全瓷冠門牙變色 顯微女孩-10 仿生貼片門牙變色 顯微叔叔-9 二次蛀牙奈米樹脂顯微補牙 顯微女孩-8 前牙美學奈米樹脂顯微補牙 顯微女孩-7 二次蛀牙奈米樹脂顯微補牙 顯微女孩-6 奈米樹脂顯微補牙 顯微女孩-5 二次蛀牙奈米樹脂顯微補牙 顯微女孩-4 奈米樹脂顯微補牙 顯微女孩-3 奈米樹脂顯微補牙黑三角 顯微女孩-2 奈米樹脂斷牙 顯微女孩-1 奈米樹脂斷牙顯微補牙