門牙斷掉怎麼辦?牙醫解析前牙美學修復
很多患者是這樣來看診的:
早上吃早餐時,
突然「喀」的一聲。
門牙缺了一角。
有些人是運動撞到牙齒,
也有人只是咬到筷子或骨頭。
這時候大部分人的第一個反應都是:
「牙齒斷掉了,是不是要拔牙?」
其實在臨床上,多數門牙斷裂的情況是可以修復的。
而不同的斷裂程度,適合的治療方式也會不同。
門牙斷掉的4種常見情況
門牙斷裂通常可以分為以下幾種類型:
| 斷裂類型 | 可能症狀 | 常見治療 |
|---|---|---|
| 小缺角 | 外觀不完整 | 美學樹脂修補 |
| 部分破裂 | 牙齒敏感 | 陶瓷貼片或牙套 |
| 牙齒變色 | 神經壞死 | 根管治療+全瓷冠 |
| 牙根裂 | 牙齒鬆動 | 拔牙重建 |
牙醫在評估治療方式時,通常會透過:
- X光檢查
- 牙齒神經評估
- 剩餘牙齒結構判斷
來決定牙齒是否可以修復,或是需要其他治療。
門牙斷掉可以怎麼修復?3種常見治療案例
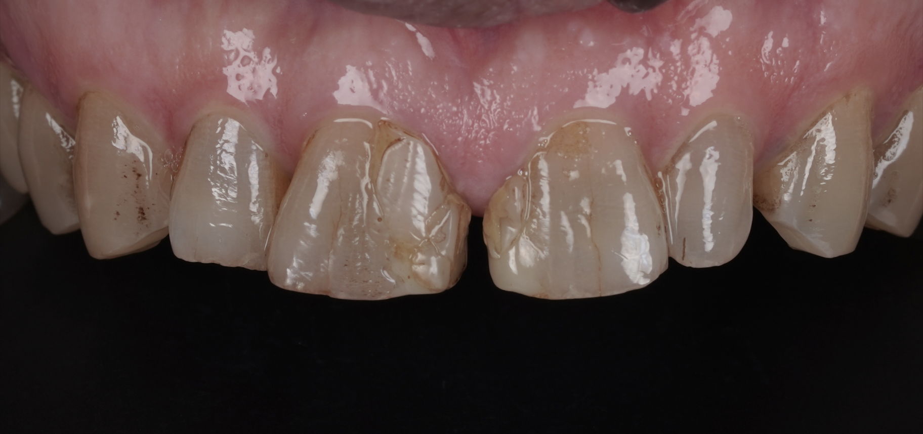
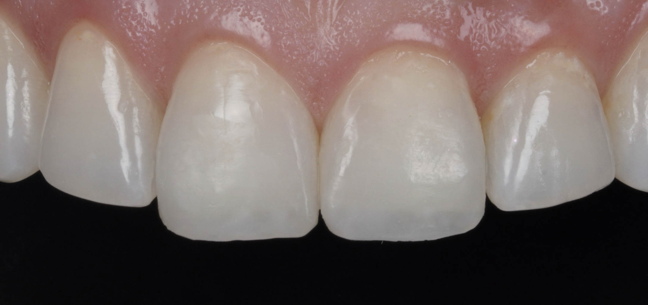
案例一:前牙缺角
狀況:前牙因為被撞到的關係,導致門牙斷了一小角。
診斷:
牙齒神經健康,牙齒結構仍然完整。
治療方式:
使用 美學樹脂修復。
可以恢復:
- 牙齒外觀
- 咬合功能
優點:
- 微創
- 治療時間短
- 不需要大量磨牙
其他類似案例:
因為跌倒、咬到筷子、輕微磨耗等等
經過仔細評估後,以美學樹脂做修復
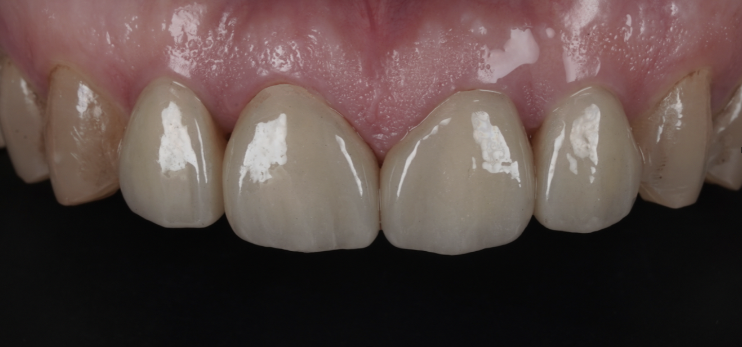
案例二:前牙結構破裂
狀況:牙齒咬到硬物破損,導致以前補牙的位置裂開,想要藉這個機會調整牙齒整體形態。
診斷:
神經目前健康,但牙齒整體比例與形態需要重新設計。
治療方式:
以前牙四顆 陶瓷貼片修復。
優點:
- 外觀自然
- 顏色穩定
- 可以調整整體笑容比例
更多類似案例:
ex: 單顆全瓷冠,多顆牙齒大範圍改色和調整型態
案例三:牙齒撞到後變色
狀況:因為小時候曾經撞到牙齒,門牙顏色逐漸變深
診斷:牙齒神經壞死
治療方式:
- 根管治療
- 全瓷冠修復
可以恢復牙齒外觀與功能。
其他類似案例:
原本就的因為外力導致破損,或是原本牙套不密合需要重新製作
牙齒為什麼會突然斷掉?
門牙斷裂的原因其實很多。
常見包括:
- 咬硬物(骨頭、冰塊)
- 牙齒本身已有裂紋
- 大型補牙
- 根管治療後牙齒變脆
- 咬合力過強
從臨床經驗來看,很多牙齒在斷裂之前其實已經出現一些徵兆,例如:
- 細微裂紋
- 咬硬物時不舒服
如果能在這個階段及早檢查,往往可以避免牙齒突然斷裂。
前牙斷掉與後牙斷掉的處理方式不同
前牙修復通常更重視:
- 美觀
- 微創治療
而後牙則會更強調:
- 咬合強度
- 結構保護
因此在治療設計上會有所不同。
之後大家如果有興趣,再和大家聊聊關於『陶瓷嵌體』這個東西。
如何避免牙齒再次斷裂?
- 定期檢查牙齒,確認是否有裂紋或結構不足
- 有磨牙習慣可配戴夜間護牙套
- 避免咬硬物(骨頭、冰塊)
- 若有大型補牙,醫師可能會建議牙套保護
這些方式都能幫助降低牙齒再次斷裂的機會。
常見問題 FAQ
門牙斷掉一定要拔牙嗎?
不一定。多數門牙斷裂其實可以透過修復治療恢復外觀與功能,例如:
- 美學樹脂
- 陶瓷貼片
- 全瓷冠
只有在牙根嚴重破裂時,才可能需要拔牙。
門牙斷掉可以補回來嗎?
如果牙齒結構仍然足夠,通常可以修復。牙醫會透過X光與臨床檢查來判斷適合的治療方式。
門牙斷掉多久內要看牙醫?
建議盡快檢查。及早評估可以確認牙齒是否有裂紋,並避免情況惡化。
如果你有類似情況
如果你有遇到:
- 門牙缺角
- 牙齒撞到破裂
- 牙齒變色
- 咬東西時覺得牙齒怪怪的
建議可以讓牙醫先評估牙齒的狀況。
透過 X光與臨床檢查,通常可以判斷牙齒是否可以修復,以及適合的治療方式。
如果想了解自己的牙齒狀況,歡迎點擊LINE預約看診時間,我們可以協助初步評估並安排檢查時間。
👉 點擊加入LINE諮詢


