▋你不一定要做貼片,但你一定要先搞清楚「為什麼變黑」
不是每顆變黑的門牙,都必須做貼片。
但幾乎所有來診間諮詢貼片的病人,都曾經以為「只有這條路可以選」。
我印象很深的是一位 34 歲女性主管,來診所的時候,
她一開口就說:「我知道這顆牙很醜,我願意花錢做貼片,但可不可以不要削太多?」
她說她從小牙齒就不好,前幾年補過這顆門牙,後來變色,現在怎麼刷都刷不掉。
她怕被主管說形象不夠端莊,也怕在業務簡報時笑起來會讓客戶尷尬。
所以她來的時候,已經做好「要做貼片」的心理準備。
但我幫她拍完照、放大仔細看之後,卻發現這顆牙齒的狀況其實非常穩定。
她之前補的材料變色了,但牙齒本身沒有大範圍蛀牙、沒有裂痕、神經也很健康。
這種情況,其實只需要「更換表面的樹脂」,就可以恢復美觀,完全不需要貼片。
她聽到這句話的時候,其實很驚訝。
她說她已經問過兩家診所,都說要貼片,並告訴她貼片「更持久、更自然」。
但她其實不懂那些專有名詞,也不懂什麼叫「齒質保留」,她只是怕自己做錯選擇。
很多人對貼片的認識,是從美容牙醫廣告、社群影片來的。
他們看到 Before / After 的對比照,會以為「貼片等於變漂亮」,甚至是「唯一解法」。
但在我臨床這幾十個案例裡,至少有 50% 的黑牙,其實都可以用微創方式處理,
像是美學樹脂、或局部修復。
我把這些不同成因的牙齒變黑分類,整理成診斷流程。
從「撞擊後變黑」到「神經壞死」到「補牙老化」,每一種都有不同的處理邏輯。
我現在把這些案例與流程做成圖文手冊,也放上前後對比照,讓更多人看見這些選擇。
這不是叫你不要做貼片,而是告訴你,你也許還有別的選擇。
你不需要因為一顆門牙的顏色,就放棄原本的牙齒。
你只需要先判斷正確,才能為自己留下最好的一口牙。
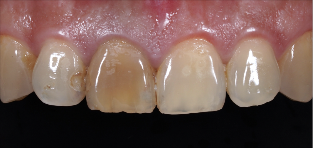
第一種:補過變黑?
這位病人原本諮詢過蠻多牙醫的,得到的建議大多是做6-8顆貼片。 我相信做完一組貼片一定會蠻美的 但病人比較在保留最多牙齒的前提下,讓牙齒恢復最高程度的美觀。
和他討論之後,我們以1顆全瓷冠去保護原本抽過神經的牙齒 搭配4顆美學樹脂的方式去修復原本破碎以及補牙變黑的地方。
技術上,我們花最多時間在兩顆門牙的顏色以及型態 因為兩顆材料的不同,呈現出來的顏色光線和色澤也不一樣。
最後,雖然牙齒整體的顏色沒有提升,但原本的黑點、破碎的地方都被修復,效果反而很自然。
1️⃣ 病人曾抽過神經、門牙變色破碎,對笑容整體美感有困擾。
2️⃣ 他原本以為必須做 6–8 顆貼片才有機會改善,擔心要磨掉很多牙。
3️⃣ 最後我們採用「1 顆全瓷冠+4 顆美學樹脂」的方式處理,雖未刻意追求變白,但成功修復黑點與破損,呈現自然和諧的效果。
第二種:牙齒撞斷
病人來的時候,最在意的不是咬合、不是疼痛,而是——「笑起來很醜」。
他原本以為,這樣的情況只能做全瓷冠處理。
但他其實非常擔心要削掉太多牙齒,也怕做出來的顏色會很不自然,和原本的牙齒差很多。
「會不會更難看?」是他心中最真實的疑問。
我們先做了詳細的檢查,確認牙齒的神經是健康的。
既然神經健康、結構穩定,那就有機會用更保守的方式來修復。
於是我們一起決定,嘗試用顯微美學樹脂修復這顆牙齒,透過放大觀察下的細節雕塑,並用比色系統精準調配與鄰牙接近的顏色。
過程中最大的挑戰是:如何只處理一顆斷掉的門牙,卻讓兩顆門牙仍然對稱且自然?
這不是簡單的補回去就好。因為病人不打算處理另一顆門牙,我們得在既有的條件下做細節微調,尤其是寬度受限、型態對稱性與光線折射的控制,需要花最多時間與專注。
雖然沒有做到絕對完美的對稱性,但最後,他終於能安心張口大笑。
那顆原本斷裂、影響自信的門牙,現在變得幾乎看不出曾經的痕跡。
在保留牙齒結構的前提下,我們找到了美觀與微創之間的平衡。
我寫了一篇關於[門牙補過變黑?美學樹脂讓你不磨牙也能改善]
有興趣的可以看看
第三種:神經壞死
這位病人剛來時,最在意的是圖片右邊的門牙——之前不小心撞到,現在常常覺得不舒服。
他原本以為只有這顆牙齒有問題,對於變色的情況也感到迷惘,不知道怎麼處理?
我們先進行詳細檢查,發現左右兩顆門牙,都因神經壞死需要做根管治療。
處理完症狀後,我們進一步評估美觀修復的方式。
最困難的部分是這顆門牙整體都已發黑——若假牙的厚度及邊緣設計沒做好,顏色很容易穿透、被發現是假牙。
因此我們花了較多時間設計「邊緣線」,將假牙邊緣巧妙藏在牙齦下方,讓修復後的牙齒看起來依然自然。
同時,圖片左邊的側門牙之前補過樹脂,但顏色偏暗,也讓病人在意。由於結構完好,我們改用顯微美學樹脂進行精緻修補,重新調整了型態與顏色。
最讓我印象深刻的,是在裝上假牙的當下,病人露出了滿意的笑容,還說終於不會一直被盯著看門牙了。
這也是我喜歡美學牙科的原因之一——修復不只是把牙齒補好,更是讓笑容重獲自信的過程。
你可以選擇亮白的整齊,也可以選擇保留的自然;但你不能被剝奪選擇的權利。
你也有一顆,讓你遲遲不敢大笑的牙齒嗎?
很多來找我的病人,其實一開始都以為:「是不是只能做全瓷冠?是不是非得磨掉整顆牙?」
但其實——治療的選擇,應該建立在你牙齒的真實條件上,而不是只有材料的名字。
有沒有抽過神經?牙齒結構還剩多少?笑起來的比例協不協調?
這些判斷,會左右治療方式,也會影響最後的自然程度。
我一直相信,好的美學,不是做得多,而是保留得剛剛好。
📩 如果你也有一顆讓你困擾的牙齒,歡迎私訊我預約
不一定要馬上做治療,先搞清楚狀況,才是最重要的一步。


