『真心話-ep6』關於我的美學理念

📍我怎麼看待牙齒的「美感」

在我心中,牙齒變美,
不是變成一模一樣、整齊劃一的白牙,
而是回到你本來的樣子,但更精緻、更自信

真正好看的牙齒,不會讓人發現你做過什麼,
只會讓人忍不住說一句:

「欸,你最近好像哪裡不一樣,好像變美了耶……但又說不上來。」

這種自然又舒服的變化,就是我追求的方向。


📍我治療時在乎哪些細節

我最重視的,有兩件事:
第一,是牙齒修磨的量;第二,是治療方式是否真的適合你。

不是每個 case 都需要做到貼片或全瓷冠。
有時候,牙齒型態、結構本身就不錯,
但看起來不自然的原因,可能只是:

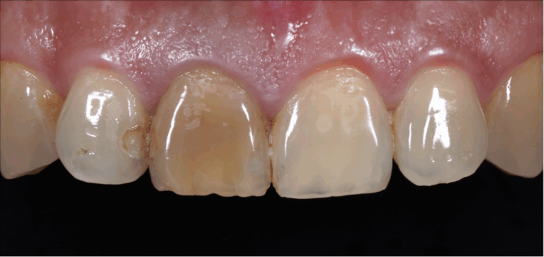
  • 顏色偏黃
  • 舊有填補物變色或染色
  • 齒縫、光澤、透明度不協調

這時候,其實不一定要做到貼片。
雖然現在的技術已經可以把貼片的修磨量降得很低,
但跟顯微美學樹脂相比,貼片的修磨量還是相對多一些。

到底要不要貼片?
我認為,最重要的不是「能不能做」,而是「適不適合你」。


📍我為什麼這樣做

貼片、全瓷冠的確有它的優勢:

  • 製作快速
  • 可達到樹脂難以做到的白度
  • 型態能透過模擬設計得很漂亮

但我也知道,有些人對「磨牙」就是有一點抗拒,
即使他們也很想讓牙齒變美、變自然。

我理解這份擔心。
所以,我希望能提供一種新的選擇:

顯微美學樹脂
這是一種更保留原牙結構、強調「自然真實感」的治療方式。

我不追求完美無瑕,而是一起找到:
最適合你、最像你自己的笑容

有些人總覺得自己笑起來哪裡不太對,
可能是顏色偏黃、補過的地方變色、牙齒比例不協調……
不一定是大問題,但心裡總在意。

這些狀況,其實很多都有機會透過合適的治療方式改善,
不一定要做到貼片,也不一定要大量修磨。
我會根據你的牙齒型態、色澤、微笑比例,
提供客觀的美學分析與改善建議。

這不只是諮詢,更是幫助你重新看見笑容的第一步。

📩 預約「微笑美學健檢」請加line私訊我

saber840202
saber840202
吉士牙醫

吉士牙醫

一步一步往前,持續前進

I will be back soon

吉士牙醫
可加line預約諮詢,看更多案例加ig喔
line預約
chat 加line預約